
| Detector | CMOS |
| Pixel Size | 14.8μm |
| Theoretical Resolution | 33.78lp/mm |
| Dynamic Range | 12 bit |
| Dimensions(WxLXT) | 32.5 x 44.0 x 5.5 mm [2.0] 30.6 x 40.8 x 5.5 mm [1.5] 37.8 x 26.6 x 5.5 [1.0] |
| Active Area(WxL) | S25.9 x 35.9 mm [2.0] 23.9 x 33.0 mm [1.5] 20.0 x 30.0 mm [1.0] |
| Exterior Material | Silicone (Bio-compatibility) |
| Total Cable Length | 2.7 m |

Compared to rigid Intra-oral sensor, the level of pain has been decreased by 40%.
With reduced pain for the patient, the staff will be able to accurately position the Intra-oral sensor on the region of interest for diagnosis.


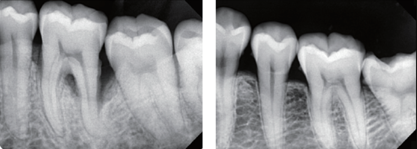
It provides consistently higher resolution and clearer images for accurate diagnosis and treatment planning.
Accurate diagnostic images will be captured with the world’s smallest pixel size.
At 14.8 μm, the EzSensor Soft has a theoretical resolution of 33.7lp/mm.

Usually, when a staff accidentally drops or steps on a sensor, it succumbs to accidental damage.
EzSensor Soft is different. It has soft exterior! The EzSensor Soft’s rubberlike exterior can withstand external impact if the sensor is dropped; reducing the risk of damage.

