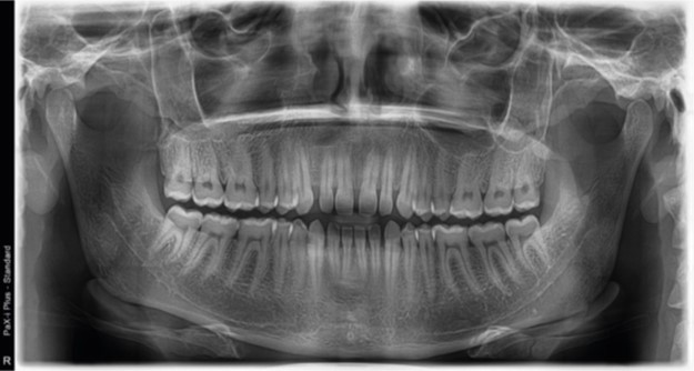
PaX-i Plus provides the most precise and high quality panoramic image by innovative imaging process and accumulated experience in dental imaging from VATECH. It improves your diagnostic accuracy with increased treatment planning and patient satisfaction.









Dentganga.com
Avoid Unnecessary Registrations