
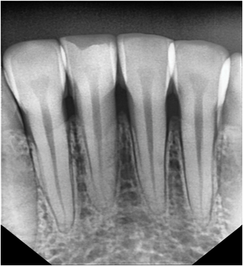
The ability to see subtleties using digital radiography is crucial to diagnosis, collaboration, and patient communication. Through a combination of advanced hardware and software technologies, the VATECH Platinum sensor is able to deliver clinically meaningful images that are extremely clear and highly detailed.
Fancy words, simple concept: VATECH hardware and software work in harmony to compensate for radiation variances thus guarding against under and over exposure. That means you are able to get more clinically usable, more consistent images at a wider range of exposure settings. You benefit from a reduction in the number of exposure-related dental x-ray retakes, and your patients benefit from the reduction in radiation.

The VATECH direct-USB sensor is ultra-portable making it an affordable solution for multiple operatories. Since it’s hot-swappable with no adaptive device required, the sensor can easily be moved from room to room without disrupting workflow. Best of all, you need only a single sensor to take ALL X-ray images — vertical & horizontal bitewings and all periapicals.
This “plug-n-play” concept is also beneficial for those who need a dental imaging system in the field. Pair VATECH imaging with a portable X-ray unit, and you have a highly mobile system that goes most anywhere you need it to.